2023년 최신 임플란트 가격이 궁금하신가요? 현대 사람들에게 치과 치료는 필수적인 요소로서, 최근에는 나이가 많은 분들 뿐만 아니라 비교적 젊은 20~30대 및 65세 이상 분들도 임플란트 시술을 받고 있습니다.



충치, 잇몸 질환 등 다양한 이유로 치아가 손실된 경우, 임플란트 시술을 통해 치아 치료를 받을 수 있는 임플란트가 최근에 가장 각광받는 치료 방법입니다.
임플란트 정의?
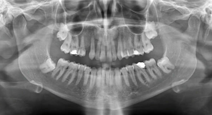
임플란트는 상실된 치아를 인공치아의 식립을 통해 다시 건강하게 사용할 수 있게 만드는 것을 뜻합니다.
많은 분들은 노화로 인해 자연 치아가 상실되거나 잇몸이 약해져 치아를 잃게 되는 경우 임플란트 시술을 받게 됩니다. 요즘에는 이가 약한 젊은 분들도 임플란트 시술을 많이 받고 있습니다.
임플란트는 크게 세 부분으로 나뉘며, 치아 뿌리를 대신하는 구조물인 임플란트 (인공치근), 그 위에 체결을 하는 보철기둥 (지대주), 마지막으로 그 위에 씌우는 보철물 (크라운)이 있습니다.



임플란트 많은 장점
많은 분들이 값비싼 가격에도 불구하고 임플란트를 시술받는 이유는 값비싼 가격에 비해 많은 장점들이 존재하기 때문입니다. 크게 5가지 장점을 살펴보면 다음과 같습니다.



외모
임플란트는 자연 치아와 같은 외양 및 느낌을 제공하여 외모에 자신감을 가지게 해 줍니다.
편안함
임플란트는 자연 치아와 같이 신체의 일부로 자리 잡기 때문에, 틀니와 같이 아침/저녁이나 주기적으로 넣었다 뺐다 해야 하는 불편함이 없습니다. 또한, 틀니를 잇몸에 고정하기 위한 접착제 등도 필요 없으며, 임플란트는 자연 치아와 최대한 유사하게 여러분이 좋아하는 음식을 통증 없이 드실 수 있게 해 줍니다.
발음
틀니는 잘못하면 입안에서 미끄러질 수 있어 말할 때 발음이 부정확하고 중얼거리는 듯한 느낌을 줄 수 있습니다. 하지만 임플란트는 이러한 문제없이 정확한 발음으로 자신감 있게 말할 수 있게 해 줍니다.
4) 구강 건강 향상
임플란트는 주변 치아들을 제거할 필요가 없으며, 치아 사이 공간에 접근성이 좋기 때문에 칫솔질이나 치실을 통해 구강 청결을 유지하기 쉬워지고, 이는 구강 건강을 향상할 수 있습니다.
5) 내구성
임플란트는 매우 견고하기 때문에, 잘 관리한다면 평생 사용할 수 있습니다.



임플란트 가격 65세 이상
치과에서는 임플란트 시술 전에 임플란트 종류와 가격을 알려주고, 환자들이 선택할 수 있도록 설명합니다. 임플란트 (인공치근)가 수입산인지 국내산인지 또는 브랜드에 따라 가격 차이가 발생합니다. 국내산 임플란트의 경우 100만 원 초반대로 비용이 형성되어 있으며, 수입 임플란트의 경우 150만 원 이상으로 가격이 형성되어 있습니다.


임플란트 평균 가격은 100만 원에서 중 후반 대이지만, 지역별로 가격이나 비용이 차이가 납니다. 지역별로 조회할 수 있는 가격 비교 사이트를 참고해 보시길 바랍니다.
홈페이지 (비급여 진료비 정보 클릭)에서 임플란트를 검색한 후, 상세 분야 (치과의 보철료)에서 치과 임플란트 항목을 체크합니다. 검색 조건에서 의료기관으로 치과병원을 선택하고 찾고자 하는 지역을 설정하고 검색합니다. 검색 결과로 임플란트 비용이 표시되며, 보철물의 종류에 따라 최저 비용부터 최고 비용까지 확인할 수 있습니다.
임플란트 수명과 부작용
임플란트의 평균 수명은 일반적으로 약 10년에서 15년입니다. 다만, 임플란트를 사용하는 기간이 짧을 수도 있고, 때로는 임플란트가 문제를 일으킬 수도 있습니다. 또한, 임플란트 시술 후의 관리 방법에 따라 임플란트 수명이 크게 달라질 수 있습니다.



임플란트를 시술할 때 주의해야 할 가장 중요한 점 중 하나는 임플란트 시술 중 턱의 신경을 만지면 신경 마비가 발생할 수 있다는 점을 유의해야 합니다. 신경을 건드리면 얼굴의 일부분이 마비될 수 있으므로, 병원 결정 후 치과에 가서 신중한 진단을 받는 것이 좋습니다. 임플란트 부작용에 대해 자세히 알아보려면 별도의 글을 참조하시기 바랍니다.
지금까지 임플란트 가격 비용, 가격 차이의 이유, 임플란트 잘하는 병원 선택 방법에 대하여 자세히 알아보았습니다. 임플란트를 고민하고 계신 65세 이상 분들 뿐만 아니라, 본인에게 맞고 환자의 잇몸 상태에 따라 수술 방법과 필요한 치료가 달라지므로, 상담을 받아보시는 것을 추천드립니다.




















